Panoramatický RTG prístroj MyRay Hyperion X9 PRO
Zmodernizovali sme naše pracoviská RTG Panoramatickým RTG prístrojom MyRay Hyperion X9 PRO, ktorý umožňuje vykonávať 2D a 3D diagnostické vyšetrenia.
Zubný 3D röntgen umožňuje lekárom zobraziť anatómiu zuba z rôznych uhlov a tým vopred určiť a predchádzať neočakávaným komplikáciám pri liečení zubov. 3D skenovanie pomáha získať lepší pohľad na kostné štruktúry a lekárom umožňuje zobraziť anatómiu zuba z rôznych uhlov.
Hyperion X9 ponúka novú 3D technológiu, cefalometrické projekcie a širokú škálu 2D vyšetrení.
Hyperion X9 Pro spĺňa všetky diagnostické požiadavky pre ľahké začlenenie do pracovného režimu a
zaručuje maximálny komfort pre pacienta a operátora. Snímky v kvalite SuperHD umožňujú lekárovi urobiť správnu diagnózu, plná dostupnosť a užívateľská intuitívnosť s inovatívnym plne dotykovým ovládacím panelom a virtuálnym panelom /PC interface/, vrátane „Face to Face“ systémom polohovania zaručujú maximum pohodlia pre pacienta a profesionalitu operátora. Široká škálovateľnosť a modularita Hyperion X9 Pro umožňuje zmeniť nastavenia podľa vašich aktuálnych potrieb
Vďaka pokročilým protokolom QuickScan, ktoré sú k dispozícii pre 2D vyšetrenia a aj 3D akvizície to je možnosť získať prijateľné obrázky s nižšími dávkami v porovnaní so štandardom. Tieto protokoly sú ideálnym nástrojom pre pooperačné zákroky, kontroly a na identifikáciu akýchkoľvek makroštruktúr. (ako napríklad zasiahnuté zuby alebo zubná agenéza).
Výmena prístrojovej techniky prebehne v daných pracoviskách v najbližšej dobe:
- RTG pracovisko SCHNEIDER Košice, Juh
- RTG pracovisko SCHNEIDER Martin
- RTG pracovisko SCHNEIDER Poprad
- RTG pracovisko SCHNEIDER Žilina
- RTG pracovisko SCHNEIDER Bratislava, Tehelná
Ako pracuje prístroj?
Zhotovenie snímku a výhody digitálneho RTG
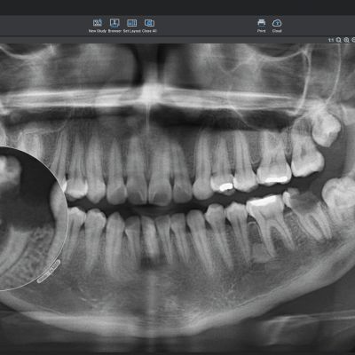
Spolu s digitálnou RTG snímkou vieme poskytnúť aj automatický prehliadač DIMAXIS VIEWER, ktorý umožní prehliadanie a úpravu snímok pre diagnostiku a meranie. Prehliadač zobrazí snímku o pár sekúnd po spustení CD.
Následne sa zobrazí snímka na monitore, s korou je možné v prehliadači ďalej pracovať - lupa, nastavenie kontrastov, meranie, inverzné zobrazenie, pseudofarby, atď... Dovoľuje zväčšenie dôležitých detailov na digitálnej snímke, čo na klasickej statickej snímke nie je možné.
Poskytuje teda:
- presnejšie,
- detailnejšie,
- komplexné informácie pre stomatológa o stave zubov a tvrdých tkanív a to pri menšej radiácii.
Digitálne zobrazenie snímky umožňuje dokonalé plánovanie chirurgických zákrokov v dutine ústnej využívaním presného digitálneho dvojrozmerného (2D) zobrazenia.
Jeho neoceniteľné využitie je napríklad pri plánovaní vsadenia implantátov. Laserová diagnostika napomáha k presnému určeniu zubného kazu. Lekár pomocou tejto technológie rozpozná zmeny v zubnom tkanive ľudskému oku nezachytiteľné a tak môže pacientovi odstrániť problém v počiatočnom štádiu.





